Косметическая стоматология – одно из самых молодых направлений стоматологии.
Косметическая стоматология включает отбеливание зубов, композитные пломбы, керамические вкладки, виниры, керамические коронки и профессиональную чистку зубов.
Отбеливание зубов

Жемчужные зубы - символ здоровья и преуспевания современного человека. Воспользуйтесь преимуществами, которые может вам подарить белоснежная улыбка. Процедура отбеливания зубов – самый простой способ сделать вашу улыбку ослепительной.
При проведении отбеливания перекись водорода проникает через органический матрикс эмали и дентина и происходит взаимодействие активных радикалов с ненасыщенными связями молекул. Отбеливатель наносится на внешнюю поверхность зубов.
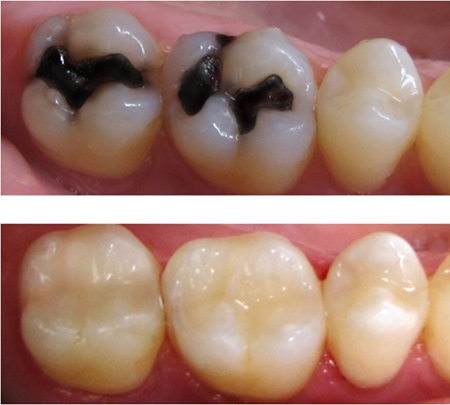
Композитные пломбы

Когда-то для восстановления зубов использовалась амальгама, сегодня предпочтение отдается композитным пломбам. Материалы, используемые для пломбирования зубов, постоянно усовершенствуют, создавая составы, максимально приближенные к составу натурального зуба и обладающие превосходными эстетическими характеристиками.
Композитные пломбы

Когда-то для восстановления зубов использовалась амальгама, сегодня предпочтение отдается композитным пломбам. Материалы, используемые для пломбирования зубов, постоянно усовершенствуют, создавая составы, максимально приближенные к составу натурального зуба и обладающие превосходными эстетическими характеристиками.
Керамические вкладки - Керамические вкладки обладают более высокими качественными характеристиками по сравнению с композитными пломбами. Керамические вкладки в отличие от пломб изготавливаются в условиях зуботехнической лаборатории или с использованием компьютерной системы. Керамические вкладки фиксируются в заранее подготовленной полости зуба на специальный композитный цемент.
Керамические виниры
Виниры - фарфоровые пластины – создают прекрасный косметический эффект при минимальном удалении зубной эмали. Имеется множество показаний к данной косметической процедуре. Преимущество виниров по сравнению с коронками состоит в минимальном воздействии на собственные зубы.
Керамические коронки

Керамические коронки полностью имитируют натуральные зубы.
Профессиональная чистка зубов
Помимо ежедневного ухода за полостью рта и зубами обязательной также является регулярная профессиональная чистка зубов. Ненадлежащая чистка зубов, никотин, кофе, чай, красное вино приводят к изменению цвета ваших зубов и образованию зубного налета и впоследствии зубного камня, который уже не поддается удалению зубной щеткой. Профессиональная чистка направлена на удаление зубного налета, камня и пигментации.
Процедура состоит из следующих этапов:
- скейлинг - ультразвуковое удаление мягких и твердых отложений

- чистка поверхности эмали при помощи стоматологического аппарата Air-Flow (воздушный поток)
- полировка и шлифовка зубов